Sunday, August 2, 2020

+29 Do Dentists Stitch Wisdom Teeth References

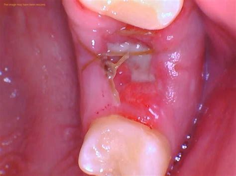
Wisdom Teeth Removal STITCHES Types of Stitches used in Wisdom Teeth
Wisdom Teeth Removal STITCHES Types of Stitches used in Wisdom Teeth from www.youtube.com

Are you wondering if dentists stitch wisdom teeth? If so, you're not alone. Many people have questions about this common dental procedure. In this article, we will explore the topic of do dentists stitch wisdom teeth and provide you with all the information you need to know.

Having your wisdom teeth removed can be a painful and uncomfortable experience. One of the concerns many people have is whether or not dentists stitch the area after the procedure. This can be a major pain point for those who are already anxious about the surgery. So, what is the answer?

The short answer is that it depends on the situation. In some cases, dentists may choose to stitch the area to promote faster healing and prevent infection. However, in other cases, they may opt not to stitch the area if they believe it will heal on its own. The decision will be based on factors such as the position of the teeth, the type of extraction, and the patient's overall oral health.

Personal Experience with Dentists Stitching Wisdom Teeth

When I had my wisdom teeth removed last year, my dentist decided to stitch the extraction sites. He explained that stitching would help to minimize bleeding and promote faster healing. I was a bit nervous about the procedure, but the stitches were actually quite small and didn't cause me any additional discomfort. Within a week, the stitches dissolved on their own, and I was able to resume my normal activities.

So, why do dentists stitch wisdom teeth? The primary reason is to promote faster healing. Stitching the extraction sites can help to close the wound and reduce the risk of infection. It can also help to control bleeding and provide support to the surrounding tissues. Additionally, stitching can help to minimize post-operative pain and discomfort.

The History and Myth of Dentists Stitching Wisdom Teeth

Throughout history, the practice of stitching extraction sites after wisdom tooth removal has been common. This was believed to help prevent infection and promote faster healing. However, in recent years, there has been some debate within the dental community about the necessity of stitches. Some studies have suggested that stitches may not be necessary in all cases and that healing can occur without them.

There is a common myth that if stitches are not used after wisdom tooth extraction, the jawbone will collapse. However, this is not true. The jawbone will naturally fill in the empty space left by the extracted tooth, regardless of whether stitches are used or not. The decision to use stitches will depend on the dentist's judgment and the specific circumstances of the case.

The Hidden Secret of Dentists Stitching Wisdom Teeth

While the decision to stitch wisdom teeth extraction sites may seem straightforward, there is actually a hidden secret behind it. Some dentists may choose not to stitch the area if they believe it will heal better without stitches. This decision is based on the dentist's expertise and experience, as well as the patient's individual circumstances. It is important to trust your dentist's judgment and follow their post-operative care instructions to ensure optimal healing.

Recommendation for Dentists Stitching Wisdom Teeth

If you are scheduled to have your wisdom teeth removed, it is best to discuss the stitching option with your dentist beforehand. They will be able to evaluate your specific case and determine whether or not stitches are necessary. Following the procedure, be sure to follow your dentist's post-operative care instructions to promote optimal healing.

Understanding the Process of Dentists Stitching Wisdom Teeth

When dentists decide to stitch wisdom teeth extraction sites, they will use dissolvable stitches that do not require removal. These stitches are typically made from materials such as silk, gut, or synthetic polymers. The stitches will dissolve on their own over time, usually within a week or two. During the healing process, it is important to avoid disturbing the stitches, as this can lead to complications and delayed healing.

Tips for Dentists Stitching Wisdom Teeth

If you are planning to have your wisdom teeth removed and your dentist decides to stitch the extraction sites, there are a few tips you can follow to promote optimal healing:

  • Follow your dentist's post-operative care instructions closely.
  • Avoid disturbing the stitches with your tongue or fingers.
  • Stick to a soft diet for the first few days after the procedure.
  • Take any prescribed pain medication as directed.
  • Apply ice packs to the outside of your face to reduce swelling.
  • Keep your mouth clean by gently rinsing with a saltwater solution.

Conclusion of Dentists Stitching Wisdom Teeth

In conclusion, the decision to stitch wisdom teeth extraction sites depends on various factors. Dentists may choose to stitch the area to promote faster healing and prevent infection, but it is not always necessary. It is best to discuss the stitching option with your dentist before the procedure and follow their post-operative care instructions for optimal healing. Remember, each case is unique, and your dentist will make the best decision based on your individual circumstances.

No comments:

Post a Comment

How to Get to the House of Hope Baldur's Gate 3 BG3

Table Of Content Raphael's vault[edit edit source] Hope's prison[edit edit source] How to Open the Portal to the House of Hope in BG...